Smile Gallery |Procedures | Meet the Doctors | Map & Directions | References | Contact Us | Home

 

SMILE GALLERY
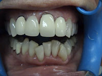
OLD BRIGGES / MISSIING

1 | 2 | 3 | 4 | 5 


BEFORE


AFTER

 

 

 

Gaps / Spaces
Stained / Discolored
Crooket / Crowded
Small / Chipped
Old Crowns / Bonding
Old Bridges / Missing
Implants
Total / Partial Dentures

Web Design Hosting MiHost.com Costa Rica